Răng sứ Katana từ lâu đã trở thành lựa chọn hàng đầu của nhiều người muốn cải thiện nụ cười. Với chất lượng cao, tính thẩm mỹ vượt trội và độ bền ấn tượng, răng sứ Katana Nhật Bản không chỉ giúp phục hồi răng hỏng mà còn mang lại sự tự tin cho người sử dụng. Nếu bạn đang thắc mắc về răng sứ katana là gì và liệu có phù hợp với mình hay không, bài viết này sẽ giúp bạn hiểu rõ các loại răng sứ Katana, cùng ưu nhược điểm của từng loại, từ đó đưa ra quyết định chính xác nhất.

Contents
Những loại răng sứ Katana phổ biến hiện nay
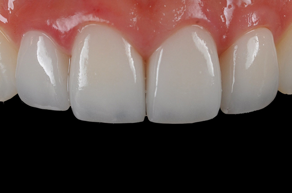
Răng sứ Katana Nhật Bản nổi bật với độ trong mờ tự nhiên, màu sắc gần giống răng thật, giúp nụ cười hài hòa và tự nhiên hơn. Sản phẩm còn có khả năng chịu lực tốt, chống mài mòn, ít gây kích ứng nướu và đảm bảo sức khỏe răng miệng lâu dài. Nhờ công nghệ chế tác tiên tiến từ Nhật Bản, răng sứ Katana có tuổi thọ cao, giúp người dùng yên tâm sử dụng nhiều năm mà không lo hư hỏng.
Răng sứ Katana Zirconia
Răng sứ Katana Zirconia, một trong những loại phổ biến, giúp phục hình răng cửa hiệu quả và là giải pháp được nhiều nha sĩ khuyên dùng. Nếu bạn thắc mắc răng sứ katana là gì, đây là loại răng có lớp sườn Zirconia nguyên khối, cứng, chịu lực tốt và hạn chế nứt vỡ khi ăn nhai. Màu sắc tự nhiên giúp tạo cảm giác răng thật, đặc biệt khi ánh sáng chiếu vào. Răng này cũng chống mài mòn tốt, phù hợp người nghiến răng nhẹ, nhưng nếu kỹ thuật lắp không chuẩn, răng đối diện có thể bị mài mòn. Vì vậy, chọn nha khoa uy tín khi bọc răng sứ katana có tốt không là yếu tố quan trọng để đảm bảo kết quả tối ưu.
Răng sứ Katana Zirconia HT (High Translucency)
So với loại Zirconia thông thường, răng sứ Katana Zirconia HT chú trọng vào tính thẩm mỹ. Lớp sườn trong suốt hơn, ánh sáng có thể xuyên qua giống răng thật, tạo cảm giác tự nhiên cho nụ cười. Loại này phù hợp cho răng cửa và những ai muốn nâng cao tính thẩm mỹ, đặc biệt trong các trường hợp cần sự hài hòa với răng thật còn lại. Tuy nhiên, tính trong suốt cao cũng đồng nghĩa với việc răng có độ chịu lực hơi thấp hơn Zirconia thường.

Răng sứ Katana Zirconia ST (Super Translucency)
Nếu bạn đang tìm kiếm răng sứ với thẩm mỹ tối đa, răng sứ Katana Zirconia ST là lựa chọn hoàn hảo. Đây là phiên bản nâng cấp của Zirconia HT, có khả năng truyền sáng gần như răng thật, đặc biệt thích hợp cho những ca phục hình răng cửa và những người kỹ tính về màu sắc.
Mặc dù siêu thẩm mỹ, răng sứ Katana ST vẫn giữ độ cứng cần thiết, giúp người dùng an tâm ăn nhai hằng ngày. Loại này cũng dễ dàng kết hợp với các kỹ thuật chỉnh hình khác, từ đó tạo nụ cười hoàn hảo mà không cần nhiều lần điều chỉnh. Tuy nhiên, giá thành sẽ cao hơn so với các loại răng sứ Katana khác, do công nghệ chế tác tinh vi và vật liệu chất lượng cao.
Xem thêm: Mão răng sứ kim loại và những điểm bạn cần cân nhắc
Ưu nhược điểm khi sử dụng răng sứ Katana Nhật Bản
Trước khi quyết định bọc răng sứ Katana, việc nắm rõ ưu nhược điểm sẽ giúp bạn có lựa chọn phù hợp và tránh những rủi ro không đáng có. Dưới đây là phân tích chi tiết về ưu, nhược điểm khi sử dụng loại răng sứ này.
Ưu điểm
Răng sứ Katana Nhật Bản được nhiều người lựa chọn không chỉ vì vẻ đẹp mà còn nhờ những lợi ích vượt trội về chức năng và sức khỏe răng miệng. Cụ thể, những ưu điểm nổi bật của loại răng sứ này gồm:
- Răng sứ Katana Nhật Bản có độ bền cao nhờ sử dụng Zirconia nguyên khối, chịu lực tốt, chống mài mòn và giảm nguy cơ nứt vỡ khi ăn nhai.
- Tính thẩm mỹ vượt trội, các loại răng từ ST đến HT có khả năng truyền sáng tự nhiên, màu sắc gần giống răng thật, mang lại nụ cười hài hòa và tự tin.
- Ít gây kích ứng nướu, an toàn cho sức khỏe răng miệng và dễ dàng duy trì vệ sinh, hạn chế mảng bám và sự phát triển của vi khuẩn.
- Tuổi thọ cao, khi được chăm sóc đúng cách, răng sứ Katana Nhật Bản có thể duy trì từ 10–15 năm, giúp tiết kiệm chi phí phục hình nhiều lần so với các loại răng sứ thông thường.

Nhược điểm
Dù sở hữu nhiều ưu điểm, răng sứ Katana Nhật Bản vẫn có một số nhược điểm mà người dùng cần cân nhắc trước khi quyết định bọc răng. Cụ thể:
- Chi phí cao hơn so với các loại răng sứ thông thường, đặc biệt là các phiên bản HT và ST do sử dụng công nghệ chế tác hiện đại và vật liệu chất lượng cao.
- Độ cứng cao của Zirconia đôi khi gây mài mòn răng đối diện nếu kỹ thuật bọc không chuẩn. Vì vậy, khi cân nhắc bọc răng sứ katana có tốt không, việc lựa chọn nha khoa uy tín để đảm bảo kỹ thuật mài răng và lắp răng chính xác là rất quan trọng.
- Mặc dù thẩm mỹ cao, nhưng một số trường hợp đặc biệt về màu răng hoặc hình dáng răng vẫn cần kết hợp thêm kỹ thuật chỉnh hình để đạt hiệu quả tối ưu. Người dùng nên tham khảo ý kiến chuyên gia trước khi quyết định bọc răng sứ Katana.
Tóm lại, răng sứ Katana Nhật Bản là sự lựa chọn thông minh cho những ai muốn kết hợp thẩm mỹ và chức năng. Từ các loại Zirconia cơ bản đến HT và ST, mỗi loại đều có ưu điểm riêng, giúp phục hình răng hiệu quả và tự nhiên. Bằng cách nắm rõ đặc điểm, ưu nhược điểm, và chăm sóc đúng cách, bạn sẽ sở hữu nụ cười hoàn hảo, bền lâu và tự tin mỗi ngày.
